Table of Contents
Say Goodbye to Your Double Chin
Do you struggle with a double chin despite being at a healthy weight? You might be overlooking the postural contribution to this problem.
Here are three factors causing your double chin and exercises to fix them.
Neck Position
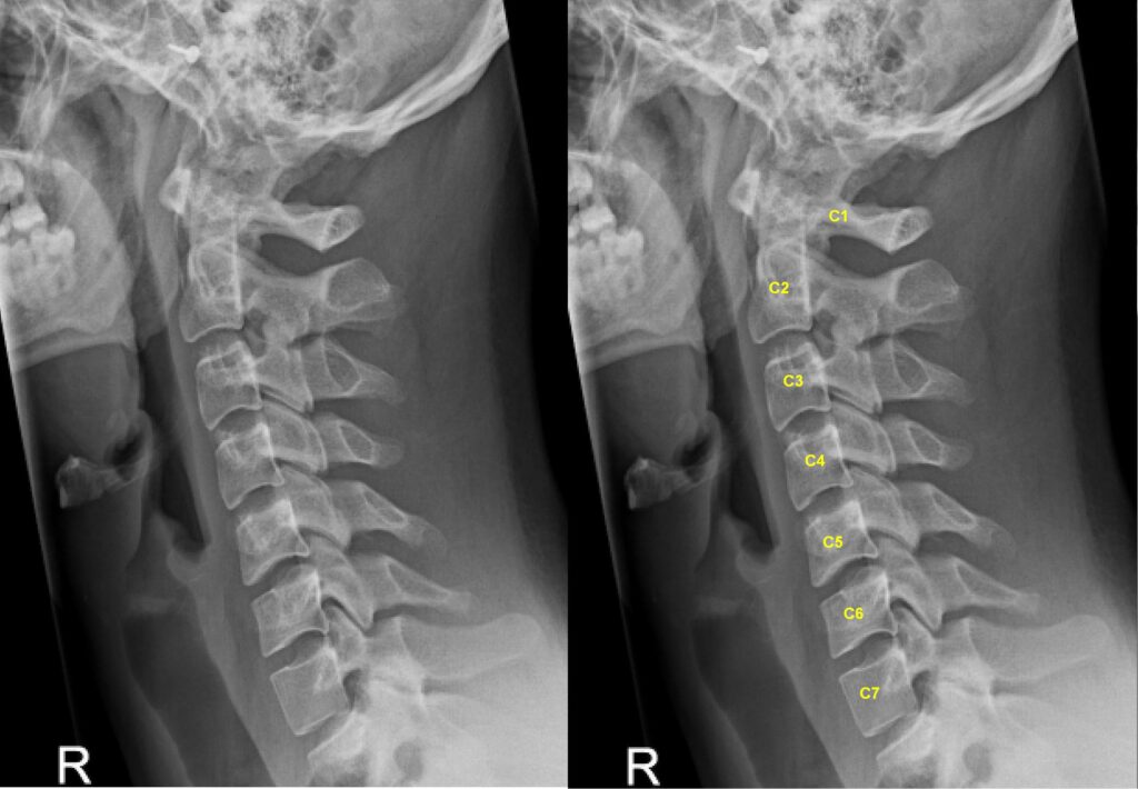
Your neck posture can create a double chin.
Ideally, your neck should have a slight curve. This is called cervical lordosis.

If this curve becomes straight, the head flexes double. This change creates a double chin.

Reverse this process with these steps:
- Lie on your back with feet flat.
- Place a rolled-up towel under your neck.
- Keep your waistband flat on the ground.
- Raise your feet on a box if needed.
- Move your chin slightly away from your neck.
This restores the natural neck curve by relaxing front neck muscles. But why would we have this neck posture in the first place?
Lower Back Arch
An arched lower back can push your head forward, causing a double chin. Fix this with these steps:
- Lie on your side with the bottom leg straight.
- Bend the top hip and rest it on a foam roller or box.
- Keep your chest parallel to the wall.
- Rest your head on pillows and hold a weight with the top hand.
- Untuck your chin and press the bottom hand into the ground.
- Breathe slowly: 5-10 count inhale through the nose, 4-8 count exhale through the mouth.
For more difficulty, rotate your body during the exercise.
Both factors can influence one of the most important areas that create a double chin.
Tongue Position
That would be your tongue. A low tongue position can cause a double chin. Here’s how to fix it:
- Place your tongue on the rough patch behind your front teeth (rugae).
- Glide your tongue back and forth along the roof of your mouth.
You can do this to make the tongue thinner side to side
- Use a chopstick to lift the tongue and make it thinner.
- Hold this tongue position for 30-60 seconds.
Then for daily practice:
- Create a suction on the palate by placing the tongue up and swallowing.
- Keep your lips closed and breathe through your nose.
Sum Up
By addressing these three factors, you can reduce or eliminate your double chin. Incorporate these exercises into your routine and enjoy a more defined jawline. For more tips, check out our other guides on improving posture and facial exercises.

